动物DR探测器的种类及优劣势

 

探测器是动物DR图像采集的关键部件,决定了动物拍摄的图像质量和产品的使用寿命。

1、市场上的探测器分为CCD探测器和平板探测器,CCD探测器由于涉及原理的缺陷,光路长,光信号损失大,所有拍片辐射剂量大,图像质量差。宠物DR为了辐射安全和获取高清图像质量建议使用平板探测器,平板探测器分为非晶硒平板探测器和非晶硅平板探测器,非晶硒平板探测器由于物理工艺的缺陷,对环境要求非常高,容易损坏,一般宠物DR建议使用成熟稳定的非晶硅平板探测器,图像质量好,产品稳定可靠,一次购买终身无忧。

2、非晶硅平板探测器的感光材料有两种,碘化铯和硫氧化钆,碘化铯对X射线转化效率高,硫氧化钆转化效率低且有散射效应,所以要降低辐射剂量和获取高清图像,建议使用碘化铯的平板探测器。为自己也为动物的安全着想。

3、像素尺寸值,一般非晶硅平板探测器的像素尺寸为120~148um之间,这个参数只要在这个范围内都还不错,再小的话由于DQE降低,噪声加大,太大的话,分辨率又会受到影响。所以一般在140um左右就很OK 了。

4、成像尺寸,要想一次购买终身无忧,大小体型的动物均能拍摄,建议购买时选择43cmX43cm的探测器。解决您的后顾之忧。

5、探测器的防二次反射技术也是非常重要的功能,可以避免二次反射对图像质量的影响。

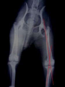
犬膝关节病变矫正手术

犬膝关节病变在临床上越来越常见。易发犬种中,最多见的是小型贵宾犬,卷毛比熊犬,迷你杜宾,京叭等。发病后,有一个最直观的现象,我们可以观察得到,患肢蜷缩,呈三脚跳姿势。

 

外科手术纠正是解决膝关节病变的一个途径。比如,髌骨内翻,外翻,前十字韧带断裂者。随着临床病例的增加和医生技能提高,手术变得越来越成熟。术后成功率也越来越高。

 

但是,以髌骨脱位为例,在什么情况下,我们需要做韧带重叠术,什么情况下,我们又需要做滑车再造成形术,甚至是胫骨结节移位术,这里边有着巨大的学问。
我们首先需要掌握的是髌骨脱位的分级。一般是四级。很多教科书和医生的博客里都介绍到了,这里不做过多的重复了。医生根据不同的等级情况来确定动物是否手术,并选择哪种手术。但是有一个问题,髌骨脱位的分级难以界定。每一个分级之间的差距是细微的。这一点在很大程度上影响了医生对动物病情的判断。
有没有更好的办法来解决这个问题呢?
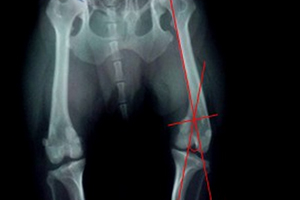
有。我们可以用另外一个途径来面对这个问题—Q角。
Q角(quadriceps-angle)  [ˈkwɔ:driseps] 书面语叫股四头肌夹角。它指髂前上棘至髌骨中心点连线与髌骨中心至胫骨结节中心连线所形成的夹角。正常Q角动物约为10°~15°(人的应该在5°~10°)。若Q角大于15°则股四头肌收缩时产生使髌骨向外移动的分力。随着Q角的增大向外侧牵拉髌骨的分力逐渐增大,髌骨稳定性也越来越差。加之在剧烈运动过程中的不确定力,髌骨可游离出滑车沟。所以髌骨脱位很容易发生。

 

犬髌股关节的稳定性受到滑车沟的几何形态影响,包括其深度和坡度。滑车沟的几何形态及外形比较复杂,其长轴的截面是不等的。滑车沟外侧面最高点位于股骨外髁的前面,并向远端及后方逐渐下降,在伸膝和屈膝早期,这种结构很好地限制了髌骨的移动。在伸膝状态下,股四头肌腱和髌韧带的张力最低。抵消了滑车骨性结构的限制,对提高伸膝和轻度屈膝时的髌骨稳定性具有重要作用。
Q角的判读方法:

手术的选择:
1、膝关节韧带重叠术
对于滑车沟未变浅、胫骨及股骨未发生畸形者,可将脱位对侧的韧带重叠缝合以紧缩关节囊,使髌骨复位。
2、滑车再造成形术
对于滑车沟变浅者,应做滑车再造成形术。

3、胫骨结节移位术
对胫骨嵴生长内旋者,将胫骨嵴移向外移动1~2公分,并用1~2枚克氏针固定。
4、截骨矫形术
如果病犬通过以上方法无效及同时膝关节严重畸形,应实施截骨矫形术,将股骨远端截断,纠正成角,使膝关节与髋关节和跗关节恢复成一条轴线上。

滑车再造成形术有时候会与胫骨结节移位术同步进行。个人认为,对于髌骨内翻,滑车沟过浅者,只要Q角在15°–20°度之间,仅需要加深滑车沟,同时在关节囊外做人造髌内侧韧带就可以了。术后的恢复也应该是比较理想的。

锥体测量系统测量犬猫心脏大小

锥体测量系统测量犬猫心脏大小

Vertebral Scale System(VSS) to measure Canine and Feline Heart Size

1、锥体心脏比分(VHS)

椎体测量系统(Vertebral Scale System,VSS)研究的重点在于心脏大小和椎体长度的比较。该系统将心脏的长、短轴用从第4胸椎开始的椎体长度表示,其结果表示为椎体心脏比分(Vertebral Heart Size,VHS)。

Buchanan和Bücheler(1995)通过测量100只无心肺疾病临床症状的犬的侧位胸片,建立了椎体测量系统的标准测量方法,并用该方法确定了100只临床健康犬心脏的相对大小(VHS)。100只临床健康犬的侧位影像VHS=9.7±0.5 v,胸廓大小、性别、左右侧位、观察者的差别对椎体测量系统的结果影响不大。

2、VHS的测量

T-气管

L-心脏长轴,从气管分叉处腹侧至心尖的距离

S-心脏短轴,从心后缘与后腔静脉相交处的中点引长轴的垂线至心前缘的距离

L和S以从T4开始的椎体长度表示(估计至0.1 v),相加即为VHS。

VHS=L+S

如图所示,L=5.8v,S=4.6v,VHS=L+S=10.4v。

3、X线片的实际测量

如上图,VHS=5.7v+4.5v=10.2v

如上图,VHS=5.2v+5.0v=10.2v

4、实际临床病例

这是一只京巴犬,因为剧烈咳嗽而就诊,经检查确诊为心衰。

如上图,VHS=5.6v+5.9v=11.5v

5、小结

   侧位影像的VHS是评估犬心脏的较敏感指标,受胸廓形态、性别、年龄、摆位和评估者的经验影响较小,其正常范围具有品种特异性,是一种客观的、简单易用的评估方法。

   正常范围——犬:VHS=9.7±0.5 v。猫:VHS <8v。

中国宠物医疗设备之乱象

笔者是医疗设备制造商,原来主要是做人医医学影像设备的,在人用医疗设备领域做了12年的研发生产制造,人用医疗设备有专用的国家标准和行业标准,监管相对严格,各厂家均能按照法规标准进行生产制造。

而动物医疗设备,国家没有制定相应的行业标准规范,很多供应商,实际都没有自己的研发、生产基地,都是由几个原来做业务的,直接成立公司,通过购买配件组装贴牌的方式完成,由于没有专业的人员,产品做工粗糙,质量参差不齐,严重的影响了宠物医院的临床应用,更有甚者通过购买几个进口的配件在国内组装后,贴牌冒充外国进口品牌,谋取暴利,欺骗不专业的宠物医生。

例如有冒充韩国ecoray,德国ECONET等厂家的品牌,实际上就仅仅一个部件是购买的进口品牌,很多部件都是国内组装贴牌的,这些厂家一般不能提供整机的报关单,产品质量大打折扣,主要欺骗那些不专业又崇洋媚外的宠物医院。

宠物医疗正处于飞速发展阶段,行业洗牌在即,行业呼唤高品质的医疗设备供应商,诚实守信,以科技创新,品质第一的制造精神,共同打造一个可持续发展的健康宠物行业。

笔者希望通过此文让更多的宠物医院能够擦亮眼睛,识别真伪,不再受骗上当。

也希望行业供应商能以诚信为基础,提高动物医疗设备的品质,共同打造高品质的宠物医疗设备,让更多的宠物医院用上高性价比、高品质的产品,更好的为宠物行业服务,造福广大宠物医院和患宠。

让行业持续健康的发展,缩短与国外宠物医疗的差距,让所有从事宠物行业的广大朋友受益!

兽用DR –犬猫常见腹痛性疾病的鉴别诊断

犬猫腹痛,宠物临床常见症状,多为其他疾病的并发或继发所致。引起腹痛的疾病很多,需仔细鉴别。

腹痛的病因

1、胃性腹痛
见于胃扩张、急性胃炎、胃溃疡、 胃扭转等疾病。

2、肠性腹痛
包括急性肠炎、肠阻塞、肠变位、肠痉挛、便秘、肠套叠等疾病。

3、腹膜性腹痛
见于急性腹膜炎。

4、泌尿器官疾病所致腹痛
常见有急性肾炎、肾结石、膀胱炎、尿路结石等。

5、生殖器官疾病所致腹痛
见于子宫扭转。

6、肝、胆、胰腺疾病所致腹痛
见于胆结石、急性胰腺炎等。

 

鉴别诊断
首先根据粪便情况、尿液变化、是否有黄疸,对腹痛病进行分类,然后再逐一鉴别。

腹痛、粪便干燥或停止主要见于便秘,其特点是频排粪但无粪便排出,腹痛或轻或重,腹部触诊有柱状或串珠状硬物,伴肠鼓气。X线检查腹腔内有高密度影像和鼓气。

 

腹痛、粪便稀或便中带血

1、胃扩张:有过食史、胃硬敏感,呕吐、腹围大。

2、肠炎:粪稀腥臭、肠音高,脱水明显,腹部压痛。血常规检查,白细胞总数和中性粒细胞增加。

3、胰腺炎:腹痛重,有休克现象,便如油、血糖和淀粉酶高,X线检查,右腹前部密度增加。B超检查见胰腺肿大。

4、肠痉挛:有受凉史,间歇腹痛,肠音高。腹部触诊无异常。

5、肠套叠:腹部触诊有香肠状硬物、腹壁紧张,腹腔穿刺液有血,肠音低。B超检查可见多层肠壁。钡餐检查肠道不通。

6、肠梗阻:腹部触诊有不规则硬物,肠音低。X线检查见高密度异物,钡餐检查肠道不通。

7、犬细小病毒病:呕吐、腹泻,便中带血、腥臭,结膜苍白,脱水重。细小病毒诊断试纸检测阳性。

 

腹痛、粪便正常

1、腹膜炎:腹壁紧张、敏感,胸式呼吸,排粪带痛,腹腔穿刺液有红、白细胞和蛋白质。

2、胃炎:呕吐、胃区敏感,胃镜检查见胃黏 膜红肿。B超检查见胃黏膜增厚。

3、胃溃疡:胃空虚, 触诊敏感,胃镜检查见胃黏膜有溃疡。

4、子宫扭转: 有怀孕史,腹壁紧张敏感。产道指检,子宫颈有牵拉感,有皱襞。X线检查见子宫扭转。

 

腹痛、尿血

1、肾炎:尿少而频,水肿,肾区敏感、弓背,尿中有大量红、白细胞和蛋白质、管型。排尿全程带血。

2、肾结石:一般无水肿, 肾区敏感,弓背,X线检查肾内有高密度影像。排尿全程带血。B超检查肾脏内有强回声团块并伴有声影。

3、膀胱炎:尿频、尿痛,膀胱敏感,排尿末期带血明显,膀胱镜检查见膀胱黏膜红肿。B超检查见膀胱黏膜增厚。

4、膀胱结石:尿频、尿痛,膀胱敏感,有时可摸到结石,排尿末期带血明显。X线检查膀胱内有高密度影像。 B超检查膀胱内有强回声团块并伴有声影。

5、尿道结石:排尿障碍、排尿初期带血明显,尿道探诊不通。X线检查尿道内有高密度影像。B超检查尿道内有强回声团块并伴有声影。

 

腹痛、黄疸

1、肝炎:呕吐腹泻,肝区敏感,血清中直接胆红素和间接胆红素均升高。粪胆原减少,尿胆原增加。

2、胆管阻塞:腹痛重,X线检查胆管内有高密度影像,血清中直接胆红素升高,粪胆素、尿胆原均降低。

动物DR,舒博尔“绿精灵”亮相,开启新动物DR质

2016年6月25日,深圳舒博尔宠物医学科技有限公司位于中国创新之城-深圳,其自主研发的“绿精灵”系列动物DR亮相,正式宣告走向市场。

 

舒博尔动物DR新工厂属于定制型制造车间,占地面积一千平方米,用于动物DR部件组装和产品出厂测试。新工厂启用后,将承担舒博尔“绿精灵”系列动物DR产品的生产制造,预计年产量可达600台,产值近2亿人民币。

 

成立于2014年的舒博尔已取得多项发明专利。历时近3年,舒博尔建立起覆盖影像设备开发、设计、制造、销售全链条的人才体系,推出了拥有国产化自主知识产权的“绿精灵”系列动物DR产品,并在低剂量、高空间分辨率上实现突破,成为首个跻身国际一流动物DR技术阵营的国内企业。随着舒博尔动物DR新工厂的正式启用,动物DR国产化技术攻坚将进一步提速,这也将成为深圳推进全国科技创新中心建设中一个靓丽的侧影。

 

认准“绿色+创新”理念,舒博尔从研发入手系统解决动物DR成本下降与性能提升的难题近些年,随着国内企业的进入,长期垄断动物DR市场的国际品牌遭遇到巨大的挑战。加之国际经济形势疲软,各大国际公司业绩压力激增,这导致不当竞争越来越多,比如“超低端”动物DR大行其道,而市场浮躁对于正在发展中的国内动物DR行业有百害而无一利。

 

作为动物DR行业的生力军,舒博尔是从研发入手来解决成本与性能这对矛盾的。动物DR核心技术的自主研发一直是高端医械国产化突破的难点,而这也是动物DR成本居高不下的症结。舒博尔创立之初,就拣起了这块难啃的骨头,在跨学科研发人员的通力合作下,已经成功实现了从数据采集到图像处理,再到图像显示、记录、存储全套系统级的自主研发。

 

“绿精灵”系列动物DR采用的superlink影像链技术就是舒博尔独创的,其中采用独特的微焦点球管+防反射探测器的组合,这为有效解决低剂量影像质量间的矛盾奠定了根基。为减少射线给人体带来的不利影响,舒博尔自主研发的长焦距准直器技术,实现了根据人体不同检测部位调整射线入射范围,也从源头解决了用最少的射线达到影像诊断的目标,这项技术已取得国家专利。

舒博尔动物DR图像展示大到核心部件DR平板探测器,小到每一块电路板,每一根连接线,每一个DR机架,舒博尔通过科技创新,技术优化在为产品性能做加法的同时,让产品成本也降到最优。

 

舒博尔每年用于研发的投入超过800万,研发团队占到了公司员工总数的64%,资金和人才的双重保障也为舒博尔每年实现2至3个新品/新技术开发夯实了基础。

 

舒博尔不牺牲性能,不牺牲品质的”绿色+创新”理念还体现在元器件生产商的筛选和组装工艺上。舒博尔在全球范围内甄选优质供应商,与日本、德国、瑞士、美国等元器件生产厂建立了紧密的伙伴关系,国内的关键部件供应商也都有超过10年的行业制造经验,全部具有中国行业认证资质。这些经由合作伙伴生产的符合舒博尔设计和质量要求的配件,进入装配车间后,还要经历规范的组装和严格的出厂测试,才能送到用户手中。

 

做高品质的动物DR,是舒博尔遵守的重要法则。低剂量,秒速成像,高清晰成像,“绿精灵”完美化解剂量与图像质量的矛盾
DR设备最核心的性能指标是图像质量。在DR产品领域,剂量与更精确的图像看似不可调和。因为DR的剂量降低,图像质量越难保障,所以要做到低剂量,必须要有技术上的创新。

 

“绿精灵”系列DR因为采用了舒博尔superlink影像链技术和金字塔图像处理算法,成功解决了这一产品难题。目前绿精灵系列产品,达到了与国际品牌相媲美的水平,“绿精灵”系列DR的推出,弥补了国产DR设备的技术短板。这既为医生降低了辐射剂量,保证了医生的健康,也为诊疗影像质量提供了更有力的保障。

 

在技术上不断求索,舒博尔不只赶超
在舒博尔研发团队里,不仅有国内影像行业一线的研发精英,还有来自美国动物放射医学及影像科学系教授Dr.chen,他作为舒博尔创始人,为研发团队带来了最前沿的动物DR设计理念,这让舒博尔的自主研发不只是赶上国际水平,而是更具前瞻性和创造性。

 

依托人才资源与技术优势,舒博尔还积极开拓全球市场,截至目前,舒博尔“绿精灵”动物DR已经在美国和加拿大等国宠物医院装机,产品品质被客户高度认可。

 

舒博尔正大步走在动物DR制造业“中国新名片”的道路上,舒博尔创始人Dr.chen先生强调要做世界一流品质动物DR,为用户提供更多增值服务,为产品附着上更多创新价值,引领国产动物DR开拓新形象,致力于宠医健康事业,持续创新!

动物DR机房设计参考

随着市场上越来越多的动物DR的运用,极大地提高了动物DR X线诊断的水平,各种高频、大功率、小焦点动物专用DR X线摄影机的出现引发了宠物医院争相购置,需要各位宠物医院负责人了解宠物DR的的机房要求。

机房布局
从辐射防护角度考虑,原则上X线机房尽量选择医院的走廊一端,比邻手术室为佳。并且尽量靠近医院的供电总闸,在机房外安装铅防护观察窗,窗外可放置X线机远控台,预留穿线孔,在机房旁边最好能预留一间2平米左右的具备上下水及通风的隔间作暗室。机房门不宜过窄,以方便机器安装及麻醉后动物的担架运输。

机房面积
一般动物专用X线摄影机具备一个装备有滤线器的摄影床,因此在选择机房面积时应充分考虑摄影床面的活动范围以及兽医保定动物时站立的位置空间,一般最小使用面积为2X2平米。

供电电源
如果选用大功率X线机,供电电源为三相五线制供电,线径不小于10平方铜线。接地良好。一般供电电源为单相220伏,线径不小于6平方铜线。接地良好。墙闸空气开关的位置与容量按照所订购设备厂家提供标准装备。

机房防护
按照国家有关辐射防护要求,在机房周围加装高度不低于2米的至少1.5毫米铅板防护材料,防护铅板拼缝之间、防护门与观察窗的框结构均做铅板搭接,在机房门外设有射线有害警示标牌和门灯连锁装置,机房防护门安装自动闭门器,机房与操作室之间安装铅玻璃观察窗,有条件可安装双向对讲机。

辅助装置
X光室同时应配备有单联观片灯、防护铅衣与支架、胶片暗盒铅储存箱、摄影厚度尺、分割摄影用铅板、小尺寸固定滤线栅、摄影条件表、保定沙袋与绷带、摄影登记簿等。

兽用DR 心脏VHS评估测量方法

犬心脏疾病的X征象主要表现为心脏大小、轮廓、密度和心脏与大血管影像位置的变化,以及心外的一些症状(如肺水肿、腹水、肝肿大等)。非充血性心力衰竭的患犬,其心脏疾病的X线诊断主要是评估心脏轮廓的大小和形状。心脏增大是心脏疾病的首要症状,主要是由流经心脏的血容量增加或外周血管和肺血管阻力增加造成的。心影的增大可由扩张引起,也可因心肌肥大,或扩张和肥大共同作用引起,所以心脏增大是心肌代偿(肥大)或心力衰竭(扩张)的表现。其它引起心影增大的原因还有心外肿块、心包脂肪堆积、心包积液和肺门处肿瘤等,必须进行鉴别诊断。心脏增大可以通过经验评估法、比较评估法和测量评估法等方法进行评估,临床上这些方法各有利弊,现综述如下。

1、心脏的经验评估法
经验评估法是根据对大量正常心脏的X线片进行评估统计得出的经验进行的,临床上常用,但结果是主观的,有较大的变化和出错倾向,特别是评估幼犬、短头品种犬和肥胖犬的心脏,因为这些犬的心脏相对较宽、圆,占据了胸腔较大的位置,易被误认为心脏增大。评估时要综合考虑不同品种犬的胸廓形态、摆位、呼吸周期、心动周期、血容量变化、肥胖、年龄及心肺疾病等因素的影响。该方法需要同时评估心脏的侧位和背腹位影像。

2 、心脏的比较评估法
比较评估法就是比较用相同的投照技术拍摄的同一动物不同阶段的胸部X线片。该方法简单、可信,通过比较疾病不同发展阶段拍摄的标准胸片可以确定心脏疾病的变化、评价治疗的有效性及判断预后。但这种方法在应用上也有一定的限制,因为以前未必有X线片或多次拍摄的X线片未必有可比性。也可与同一品种的正常胸片进行比较,但寻找合适的可比较的正常胸片是费时的,也有较大的主观性。

3、心脏的测量评估法
测量评估法是在标准投照技术下,通过测量获得正常犬心脏和大血管的相对大小或心胸比率的参考标准来评估患犬心脏的方法。该方法虽然可取,但对投照技术和摆位要求特别严格。

3.1 传统的测量评估法
Hamlin的方法是根据统计学方法计算出来的,对个别病例可能是不准确的,其主要缺陷是未考虑心尖至心基部距离的变化,而且只用一种投照体位。应用这种测量方法时,要特别注意摆位、胸廓形态、心动周期和心外因素的影响。胸廓畸形如漏斗胸时不能应用这种方法。

也有人将侧位胸片上深胸犬和浅胸犬的心脏前后径宽度分别为2.5~3.5个肋间隙作为正常心脏大小的指标,但该方法受心脏长轴的倾斜度、胸廓形态、呼吸周期、肋骨重叠度和不准确的测量点等因素的限制,不能准确反映心脏的3.2 椎体测量系统,为了克服胸廓形态、摆位、呼吸周期和心动周期等因素的限制,近年正在探讨一种解剖上合理、适当准确、易于使用和说明的心脏﹕骨骼比值的测量方法。在猫已经证实可以通过这种测量方法辅助诊断心脏疾病。目前研究的重点在于心脏大小和椎体长度的比较,即椎体测量系统(Vertebral Scale System,VSS),因为心脏重量和体长之间具有良好的对应关系(Stünzi等,1959),而且心脏和椎体可同时在胸部X线片上测量。该系统将心脏的长、短轴用从第4胸椎开始的椎体长度表示,其结果表示为椎体心脏比分(Vertebral Heart Size,VHS)(见图2)。

椎体测量系统首先由Buchanan(1991)引入兽医临床,现在已是最常用的定量评估心脏增大的方法,可作为无经验的观察者评估心脏大小的起点,有助于评估可疑病例的心脏大小,还可监测心脏增大的变化。Buchanan和Bücheler(1995)通过测量100只无心肺疾病临床症状的犬的侧位和背腹位或腹背位胸片,建立了椎体测量系统的标准测量方法,并用该方法确定了100只临床健康犬心脏的相对大小(VHS)。100只临床健康犬的侧位影像VHS=9.7±0.5 v,正常范围为8.5~10.6 v;腹背位影像VHS=10.2±0.83 v,而背腹位影像VHS=10.2±1.45 v,胸廓大小、性别、左右侧位、观察者的差别对椎体测量系统的结果影响不大。正常的宽胸犬或桶状胸犬的心脏轮廓圆,占据了胸廓的大部分,气管看起来被抬高,但是VHS测量表明心脏大小在正常值范围之内,而且背腹位或腹背位影像也正常。这种胸廓形态的犬的心脏评估推荐使用椎体测量系统。Hansson等(2005)通过研究胸部X线影像读片能力和小动物临床实践水平不同的人使用VHS测量法的差异,也认为观察者的差别对椎体测量系统的结果影响不大,但同时发现VHS与测量点的选择和长短轴向椎体单位的转变有关,建议对某一特定病例的测量由同一个临床医师跟踪完成。Sleeper等(2001)跟踪测量了11只犬在3、6、12和36月龄的VHS,发现幼犬的VHS也在成年犬的参考范围(9.7±0.5 v)之内,而且随年龄的变化,VHS的变化并不显著,确定幼年犬和成年犬心脏增大的参考标准基本一致。

L-心脏长轴,从气管分叉处腹侧至心尖的距离;S-心脏短轴,从心后缘与后腔静脉相交处的中点引长轴的垂线至心前缘的距离;L和S以从T4开始的椎体长度表示(估计至0.1 v),相加即为VHS。T-气管。

Nakayama等(2001)确定了VHS与超声心动图和心电图监测心脏增大的一致性,从而证明了椎体测量系统评估心脏的临床意义。Buchanan和Bücheler(1995)研究中发现98%的犬VHS≤10.5 v,所以认为10.5 v是大部分临床健康犬正常心脏大小的上限。Lamb等(2000)根据上述参考值证实侧位影像的VHS测量法评估心脏异常的准确率可达到78%,高于背腹位影像评估的47%的准确率。该方法78%的诊断准确率与人后前位影像中心胸比值大于0.5的70%的诊断准确率(Glover等,1973)和心脏横径大于15 cm的72%的诊断准确率(Murphy等,1985)基本相符。

对个别病例,VHS方法的应用受到限制,其原因在于:第一,某些心脏病患犬的心脏仍然保持正常的心脏轮廓;第二,某些品种犬心脏的VHS值在正常范围之外。另外,临床上不能保证不同犬在相同的呼吸周期和心动周期阶段曝光,二者对心脏大小和形状有一定的影响。

Buchanan和Bücheler(1995)提出要对单品种犬进行大样本数研究,以获得更准确的心脏VHS值。Lamb等(2001)测量了拳师、拉布拉多、德国牧羊犬、杜宾、查理士王小猎犬、约克夏犭更 6个品种无心血管疾病和呼吸系统疾病临床症状的犬右侧位影像的VHS值,分别为11.6±0.8 v、10.8±0.6 v、9.7±0.7 v、10.0±0.6 v、10.6±0.5 v和9.7±0.5 v。拳师、拉布拉多和查理士王小猎犬的VHS平均值显著高于其它品种的正常犬。除了拳师之外,这5个品种的心脏病患犬的VHS值都有增大的趋势,特别是在约克夏犭更 和查理士王小猎犬具有较高的心脏病诊断率。Gülanber等(2005)测量了120只临床健康的土耳其牧羊犬左侧位影像的VHS值,结果为9.7±0.67v,与Buchanan和Bücheler(1995)测量的正常范围相符,也未发现性别和年龄之间的差异。

Valérie等(2005)测量了44只无心肺疾病的临床健康的惠比特犬的VHS。左侧位VHS=11.0±0.5 v,右侧位VHS=11.3±0.5 v,右侧位的VHS显著大于左侧位的VHS;背腹位VHS=10.5±0.6 v,腹背位VHS=11.1±0.6 v,腹背位的VHS显著大于背腹位的VHS。另外也表明惠比特赛犬的VHS大于惠比特宠物犬的VHS,受过训练的惠比特犬的VHS大于未受训练的惠比特犬的VHS,但未发现性别之间的差异,所以应用椎体测量系统评估惠比特犬的心脏时要充分考虑品种和摆位的影响。

可以认为,侧位影像的VHS是评估犬心脏的较敏感指标,受胸廓形态、性别、年龄、摆位和评估者的经验影响较小,其正常范围具有品种特异性,是一种客观的、简单易用的评估方法。

Schulze和N?ldner(1957)通过测量1406只犬的左侧位胸片(FFD=120 cm),建立了心脏长度(心尖到心基部的距离)和宽度(心脏的前后径)的标准比值,以此评价心脏增大。然而这种方法并未用于临床,因为各品种间的比值并不相同。Detweiler和Patterson(1965)报道了应用该方法可能得出错误的诊断结果。后来,Uhlig和Werner(1969)又提出了比较胸廓面积和心影面积的面积计量法,也未能用于临床。

目前市场上的DR具备心脏VHS测量工具的是舒博尔宠物DR。